Një implant elektronik për syrin me trashësi sa gjysma e një floku njerëzor ka ndihmuar njerëzit me humbje të shikimit të shohin përsëri, duke hapur një “epokë të re” potenciale në trajtimin e verbërisë.
Mjekët që kryen implantin thonë se ato kanë ndihmuar shumë nga 38 pacientët e moshuar të rifitojnë aftësinë e tyre për të lexuar shkronja, numra dhe fjalë.
“Në historinë e shikimit artificial, kjo përfaqëson një epokë të re”, tha Mahi Muqit, konsulente e lartë në spitalin e syve Moorfields në Londër, një nga 17 vendet e përfshira.
“Pacientët e verbër janë në gjendje të kenë një rikthim domethënës të shikimit qendror, gjë që nuk është bërë kurrë më parë. Rikthimi i aftësisë për të lexuar është një përmirësim i madh në cilësinë e jetës së tyre, ua përmirëson humorin dhe ndihmon në rikthimin e vetëbesimit dhe pavarësisë së tyre.”
Studimi zbuloi se 84% e pjesëmarrësve ishin përsëri në gjendje të lexonin shkronja, numra dhe fjalë pasi u pajisën me implantin, të quajtur pajisja Prima.
Specialistët e syve i cilësuan rezultatet si “të jashtëzakonshme” dhe thanë se pajisja mund të ndihmojë njerëzit me formën “e thatë” të degjenerimit makular të lidhur me moshën (AMD), shkaku kryesor i humbjes së shikimit tek personat mbi 50 vjeç.
Moorfields tha: “Implanti i ri revolucionar është pajisja e parë që u mundëson njerëzve të lexojnë shkronja, numra dhe fjalë përmes një syri që kishte humbur shikimin.”
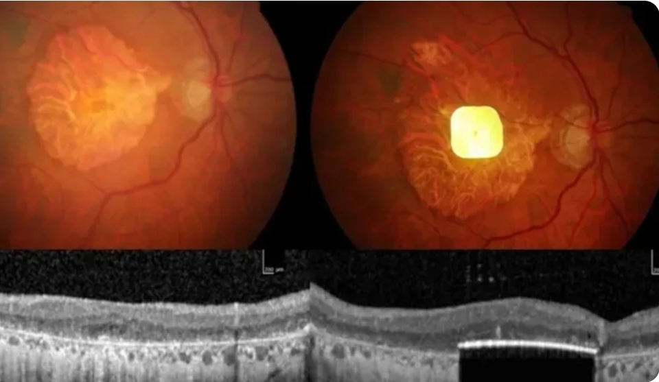
Të 38 pacientët kishin të gjithë atrofi gjeografike me degjenerim të thatë të makulës (AMD), e cila me kalimin e kohës e privon dikë nga shikimi në mënyrë progresive dhe për të cilën nuk ka trajtim.
Shumica e njerëzve me këtë gjendje humbasin një pjesë të shikimit qendror dhe në disa raste kjo përparon në humbje të plotë të shikimit, ndërsa qelizat në makulë vdesin dhe makula qendrore shkrihet.
Të gjithë kishin humbur shikimin qendror dhe kishin vetëm shikim të kufizuar periferik përpara se t’u implantohej pajisja në një operacion që zgjati më pak se dy orë.
Pesë u trajtuan në Moorfields dhe të tjerët në spitale në Gjermani, Francë, Itali dhe Holandë.
Sheila Irvine nga Wiltshire, një nga ato që e kishin implantuar çipin në Moorfields, tha: “Para se të merrja implantin, ishte sikur të kisha dy disqe të zinj në sy, me pjesën e jashtme të shtrembëruar. Isha një lexuese e apasionuar pas librave dhe doja që t’i ktheja. Nuk kishte dhimbje gjatë operacionit, por prapëseprapë je i vetëdijshëm për atë që po ndodh.”
“Ka bërë një ndryshim të madh. Është një mënyrë e re për të parë përmes syve dhe ishte shumë emocionuese kur fillova të shihja një shkronjë. Nuk është e thjeshtë të mësosh të lexosh përsëri, por sa më shumë orë të shpenzoj, aq më shumë mësoj.”
Pajisja Prima, një mikroçip super i hollë me përmasa vetëm 2 mm me 2 mm, futet nën qendër të retinës së syrit në një procedurë të njohur si vitrektomi.
